Meet the world's first "heartless man"
Mr Lewis’ wife was astonished when she tried to listen for his pulse. ‘I listened and it was a hum, which was amazing,’ she told NPR. ‘He didn’t have a pulse.'
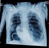
The Texas Heart Institute said that prior to having the revolutionary new device installed, Mr Lewis was reliant on a dialysis machine, a breathing machine, and an external blood pump. In March of last year, Texas Heart Institute president Dr James T. Willerson called it ‘medical history in the making.’
The first artificial human heart prototype was successfully implanted in 1969 by Dr Denton Cooley.
Heart Stop Beating is the story of Billy Cohn & Bud Frazier, two visionary doctors from the Texas Heart Institute, who in March of 2011 successfully replaced a dying man's heart with a 'continuous flow' device they developed, proving that life was possible without a pulse or a heart beat.
By Beth Stebner

